+91 9983480971
Opening Hours: Morning 9 AM-2 PM & Evening 4:30 PM- 8:30 PM
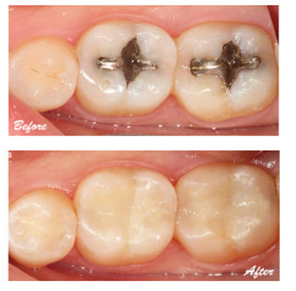
A dental restoration or dental filling is a treatment to restore the function, integrity, and morphology of missing tooth structure resulting from caries or external trauma as well as to the replacement of such structure supported by dental implants. Some people feel sensitivity after they receive a filling. The tooth may be sensitive to pressure, air, sweet foods or cold. Composite fillings often cause sensitivity, but other types of filling materials can, too. The most common reason for pain right after the anesthetic wears off is that the filling is too high.
A dental filling is a type of restorative dentistry treatment used to repair minimal tooth fractures, tooth decay or otherwise damaged surfaces of the teeth. Dental filling materials, which include composite, porcelain and silver amalgam, may be used to even out tooth surfaces for better biting or chewing. Enamel loss is a common component of tooth decay and may result in tooth sensitivity. In many cases, tooth sensitivity caused by enamel loss will be significantly improved or completely eliminated once an appropriate dental filling material is placed. But in some cases, depending on the extent of tooth decay or damage, the affected tooth may require additional or alternative procedures, including: